서울숙면치과, 은평구숙면임플란트

본문 바로가기
사이트맵
  • 서울숙면치과
    • 서울숙면치과
    • 의료진소개
    • 장비소개
    • 진료공간
    • 진료시간/오시는길
  • 숙면임플란트
    • 서울대출신전문의
    • 숙면임플란트
    • 네비게이션임플란트
    • 보험임플란트
    • 스트라우만임플란트
    • 포인트UV임플란트
    • 오스템임플란트
  • 숙면임플란트시술유형
    • 상아동거상술
    • 뼈이식임플란트
    • 전체임플란트
    • 재수술임플란트
    • 앞니임플란트
    • 틀니임프란트
  • 숙면치과치료
    • 숙면치과치료
    • 보철치료
    • 신경치료
    • 충치치료
    • 사랑니발치
  • 치아보험
    • 치아보험알아보기
    • 구비서류안내
  • 커뮤니티
    • 공지사항
    • 전후사진
    • 자필후기
    • 비급여수가표
    • 카카오톡상담

의식하진정법
당일수면가능 숙면임플란트

c46b8a9d148106e33dbeea8312fe85af_1768529691_1113.jpg

aca011baedcd29d0b5c0fa1bd11c13d6_1770966120_1216.jpg

  • 2월 진료안내
  • 3월 진료안내
팝업닫기
자고-일어난-듯-편안한-숙면임플란트-그동안-치과-공포증-때문에-임플란트를-미뤄왔다면-잠을-자고-일어난-듯-편안한-숙면임플란트를-받으실-수-있습니다
치과공포증-극복-숙면치과치료-시술-과정의-불쾌감과-고통을-기억하지-않게-해주어-치과치료에-대한-공포와-두려움을-극복할-수-있습니다
믿고-신뢰할-수-있는-서울대-출신-전문의-의료진-서울대-출신-통합치의학과-전문의-의료진이-진단부터-치료까지-꼼꼼하게-책임-진료합니다
철저한-치료-계획과-관리-원칙을-지키는-진료-서울숙면치과는-과잉진료-없는-정직한-진료-끊임없는-연구-다년간의-경험이-성공적인-치료-결과를-만들어낸다고-생각합니다-더-완성도-높은-결과를-위해-항상-노력하겠습니다
서울숙면치과-의식하진정법-사용약물-서울숙면치과는-의식하진정법-약물-사용-시-환자의-상태에-따라-약물-및-투약-용량을-결정하여-수면치료를-진행합니다.
결과로-증명하는-서울숙면치과-치과치료-서울숙면치과는-서울대-출신-전문의-의료진이-완성도-높은-결과를-위해-끊임없이-연구하고-노력합니다-김미진-대표원장-서울대-치의학-석사-통합치의학전문의-김현진-대표원장-서울대-치의학-석사-통합치의학전문의
자고-일어난-듯-편안한-숙면임플란트
정확한-위치에-안전하게-네비게이션-임플란트
의사의-숙련도가-가장-중요한-상악동거상술
가숙면-상태로-편안한-치료-숙면치과치료
자연치를-살리는-마지막-단계-신경치료
자연치의-기능-회복-보철치료
서울숙면치과-대표-진료-과목
서울숙면치과-숙면임플란트-의식하진정법으로-자고-일어난-듯-편안하게-치료하는-숙면임플란트
  • 포인트-UV-임플란트-보증기간-5년-밀폐형-광합성-UV-처리-기술
  • 스트라우만-임플란트-보증기간-10년-신뢰할-수-있는-세계적인-제품
  • 오스템-임플란트-보증기간-3년-70여-개국에서-사용되는-국내-임플란트
서울숙면치과는-정품-임플란트만을-사용합니다
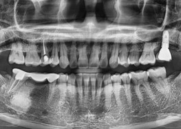
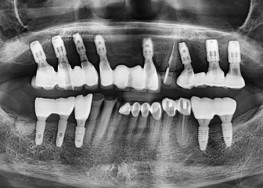
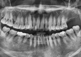
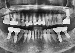
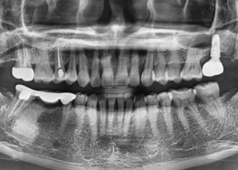
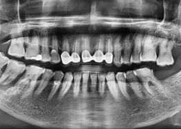
임플란트-치료-전후사진

카카오톡채널 블로그 TEL-02-6351-2875-월수금-09:30부터-18:30까지-화목-09:30부터-21:00까지-토-09:30부터-14:00까지-점심시간-13:00부터-14:00까지-토요일-점심시간-없음-주소-서울-은평구-응암로-264-서울빌딩-3층-서울숙면치과의원-사업자번호-507-12-83937-서울숙면치과의원-대표-김현진-전화-02-6351-2875-팩스-02-6351-2876-COPYRIGHT-(주)숙면의기적-ALL-RIGHTS-RESERVED